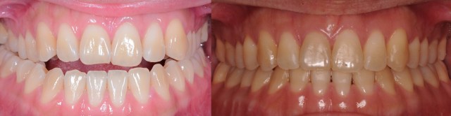
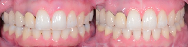
診斷:戽斗臉型、第三級咬合異常合併前牙開咬、顏面不對稱
術式:雙顎手術


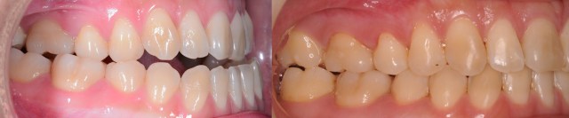
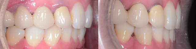
診斷:凸嘴、下顎後縮
術式:雙顎及下巴截骨手術




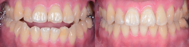
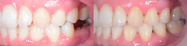
診斷:戽斗臉型、第三級咬合異常合併前牙開咬
術式:雙顎手術




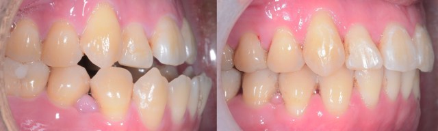
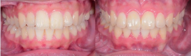
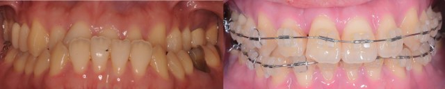
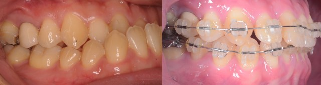
診斷:戽斗臉型、第三級咬合異常合併前牙反咬
術式:雙顎手術


診斷:上顎突出合併下顎後縮
術式:雙顎手術



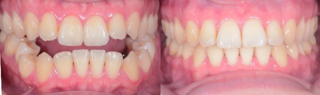
診斷:前牙開咬合併下巴後縮
術式:雙顎及下巴截骨手術




診斷:雙顎前凸、上顎垂直向過長、顏面不對稱
術式:雙顎合併下巴截骨手術


診斷:上顎前凸及垂直向過長、下顎後縮
術式:雙顎及下巴截骨手術




診斷:下顎後縮、輕度阻塞型睡眠呼吸中止症
術式:雙顎手術







診斷:顏面不對稱
術式:雙顎手術





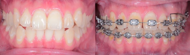
診斷:第三級咬合異常、顏面不對稱
術式:雙顎手術及下巴截骨術




