圖解正顎手術

基本截骨術

上顎 勒弗一型截骨術

下顎 雙側矢狀截骨術

下巴截骨術

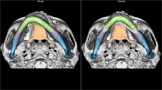
合併上述三種基本截骨術

各類型齒顎異常之模擬圖示

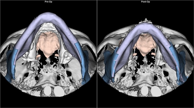
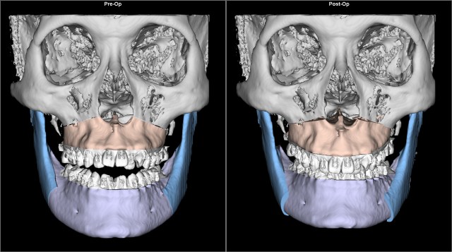
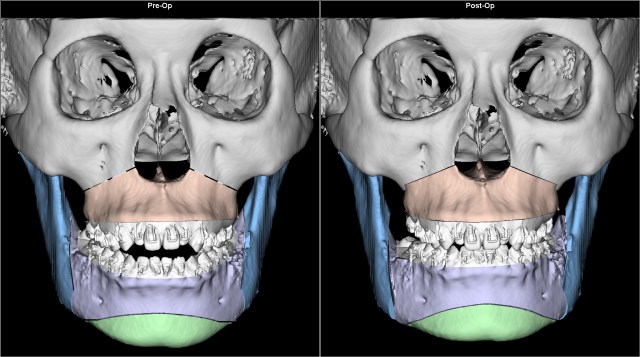
顏面不對稱、咬合不正(手術優先案例)

asymmetry before after APasymmetry before after Latasymmetry before after BASAL

顏面不對稱、咬合不正(傳統矯正案例)

FRONTAL.001Profile.001BASAL VIEW.001

第一級異常咬合、前牙開咬(手術優先案例)

class I open bite before after APclass I open bite before after Latclass I open bite before after BASAL

第二級異常咬合、暴牙、下巴後縮(手術優先案例)

class II retruded chin gummy smile before after APclass II retruded chin gummy smile before after Latclass II retruded chin gummy smile before after BASAL

第三級異常咬合、前牙開咬(手術優先案例)

class III anterior open bite before after APclass III anterior open bite before after Latclass III anterior open bite before after BASAL

第三級異常咬合、前牙反咬(手術優先案例)

class III anterior reverse bite before after APclass III anterior reverse bite before after Latclass III anterior reverse bite before after BASAL