什麼是削骨手術?
所有涉及改變顏面骨架線條與輪廓的手術都屬於『顏面骨塑型手術』。亞裔族群的顱顏骨型相較西方人而言,前後徑較短而左右徑較寬,所以9成以上的顏面骨塑型手術屬於減短橫徑(寬度)的『削骨手術』;其中更以顴骨及下顎骨的塑型(縮窄)為最常見。
『顏面骨塑型手術』應是一個涵蓋範圍更廣的名詞。
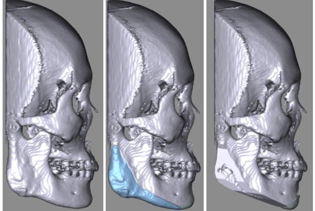
下顎骨塑型(下顎骨縮窄合併下巴截骨延長手術)


顴骨縮窄


顏面骨塑型手術目的
賞心悅目的顏面輪廓,關鍵並非想盡辦法將顏面骨橫徑(寬度)縮到最窄,而是考量到整體骨架的比例,並評估軟組織的狀態,採取適宜的手術或非手術治療。
顏面骨塑型手術與正顎手術的異同?
1.顏面骨塑型手術只改變顏面骨架輪廓與外型,而不改變牙齒咬合。正顎手術多半會改變咬合,同時也改變下顎的骨架輪廓。
2.因為顏面骨塑型手術無法改善咬合,若咬合或唇齒外觀有明顯異常則不適合單純的顏面骨塑型手術
3.顏面骨塑型手術的術前準備工作可以免去取牙模及咬合關係設計等相關作業;其餘術前準備及術後注意事項大致相同。
顏面骨塑型手術可否與正顎手術一起進行?
可以。
依目前正顎手術的設計流程,同時最佳化下顎骨的輪廓已經屬於正顎手術治療的常規步驟。針對顴骨不對稱或顴骨過寬的狀況,可以合併正顎手術同時進行。